The Anton Savage Show
The Anton Savage Show

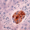
Century-old tumours could reveal why more young people are getting bowel cancer

00:00
06:59